Treatment

治療の特徴・流れ・装置

担当矯正医からのコメント

担当医近影

「矯正歯科は、かみ合わせの治療体系がないと完全とはいえません」

・私の経歴
 私は2002年に東北大学歯学部を卒業後、一般歯科で長谷部院長の下でかみあわせや一般臨床についての修行を積み、2006年に顎関節を理解している矯正の認定医を志して広島大学矯正科大学院に進学、下顎頭軟骨細胞の超音波照射に関する研究で博士号を取得、さらに日本矯正歯科学会認定医を取得しました。そして2013年に藤沢で矯正歯科医院を開院し、2016年に著名なDr.Rothによるかみ合わせを考慮した矯正治療についてを学び始め、2020年にRothスタディークラブに加入が認められ、自院の全患者にその方法を実践し、その甲斐あって2024年に日本矯正歯科学会臨床指導医審査に合格しました。
・臨床指導医とは
 臨床指導医は旧専門医で、認定医の10人に一人、全国25000人の歯科医師の中で400人程度の狭き門であり、大学の矯正科に残って認定医を取得した上で10パターンの指定症例全てにおいて患者さんの提出許可を受けた上で3次までの症例審査に合格する必要があります。治療後の模型は全て理想的な形が求められます。7症例は2年以上の保定が必須となっています。
・かみ合わせは歯並びとは違う
 Rothによると、かみ合わせというのは、本当はどこで上下のあごが合わされば最も筋肉が楽かという下顎の位置なのですが、それはつまり顎関節内の骨の位置関係ということになります。なので、より無意識的な概念といえます。
・かみ合わせと矯正
 世界的に矯正医の資格は、かみ合わせについて特別な診断や検査をクリアすることが求められていないのが現状です。患者さんに意識して噛ませた位置でいろいろな資料を撮っていても審査ではわかりません。
 なぜかみ合わせが軽視されているかというと、リラックスした位置で資料を撮っているかそれともその位置で意識的に噛ませて撮っているかどうか、その是非について矯正科医の間で共通認識がないからです。それはどうしてかというと、歯並びの矯正はかみ合わせ(顎関節)の治療とは別の分野として発展し、かみ合わせをなんとなくしか分かっていなくても歯ならびの矯正はそれなりにできてしまうからです。

「マスクで隠れている見た目のほとんどを矯正でカバーできる可能性がある」


 かみ合わせをしきりに強調するのは、そのことで矯正後に顎のズレ、筋肉の緊張、エラ張りが治ることがあるからです。
 私は見た目のエラや首の傾き、食いしばりや頭痛などのかみ合わせの諸症状は、顎関節を中心とした正しい資料と診断とかみ合わせ治療を取り入れた矯正治療で、治療を長引かせるどころか美しく早くしっかり直すことが十分に可能であると、自分の10年間の治療経験から確信しております。マスクで隠れている部分の見た目を全てカバーできるのではとすら考えております。また、矯正後の歯並びの長期安定についてもかみ合わせ(つまり顎関節)がかなり関係していると考えております。

初回カウンセリング

カウンセリングの予約を行うには、医院の営業時間(平日9:30~13:00、14:30~19:00)にお電話ください。カウンセリング日時を決定させていただきます。
(カウンセリング時間は45分程度です。)
事前のご質問がある場合はメールフォームにて承ります。
初回カウンセリングは無料です。抜歯の可能性や使用する装置、期間、治療費用の御見積もりを行います。
(初回のカウンセリング予約の無断キャンセル及び2回目以降は相談料金がかかりますのでご注意ください。)

精密検査

通常の矯正治療に必要な資料(セファロレントゲン写真、顔面写真、口腔内写真、模型)に加えて、(家を建てるときも基礎が重要なように)あごの関節と、リラックスした理想的な位置がどこか検査します。院長からの紹介ではない場合、検査には検査代がかかります。
(精密検査は専用設備のある藤沢の医院にて行いますので御了承下さい。)
 

治療開始

料金をお支払い頂き、治療開始となります。毎回の治療は1ヶ月から1ヶ月半に1回矯正医が行いますが、急患対応については院長と矯正医との間で都度話し合いながら行っております。もし何かありましたら、お電話ください。
(お支払いはクレジットカード、現金一括、デンタルローンに対応しております。手数料は患者様負担となります。)
治療は火曜、水曜に月1回〜0.8回程度来院が可能な方に矯正治療をしています。火曜、水曜にどうしても来院が難しい方は、藤沢駅(新橋から45分)の方においで頂けるのであれば対応が可能です。
具体的な矯正診療日については当サイトに決まり次第掲示させて頂く予定です。

装置

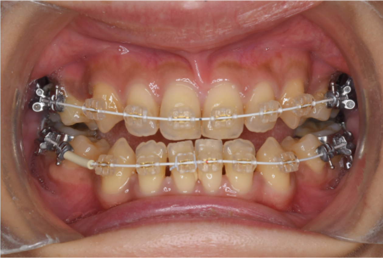
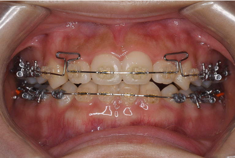
表側矯正(メイン)

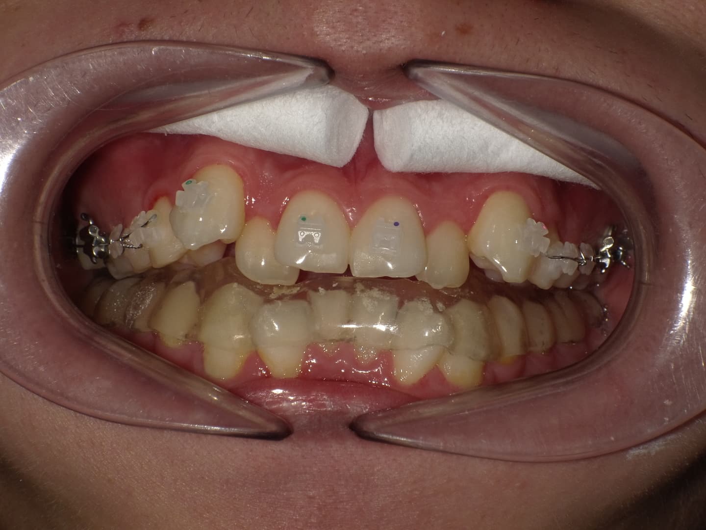
クリアブラケットとホワイトワイヤー装着時の口腔内写真
クリアブラケット+ホワイトワイヤー
クリアブラケット装着時の口腔内写真
クリアブラケット+金属のワイヤー
メタルブラケット
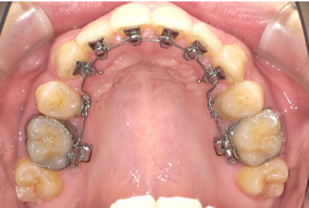
ワイヤーとアンカースクリュー併用時の上顎口腔内写真

ワイヤー+アンカースクリューの組み合わせ


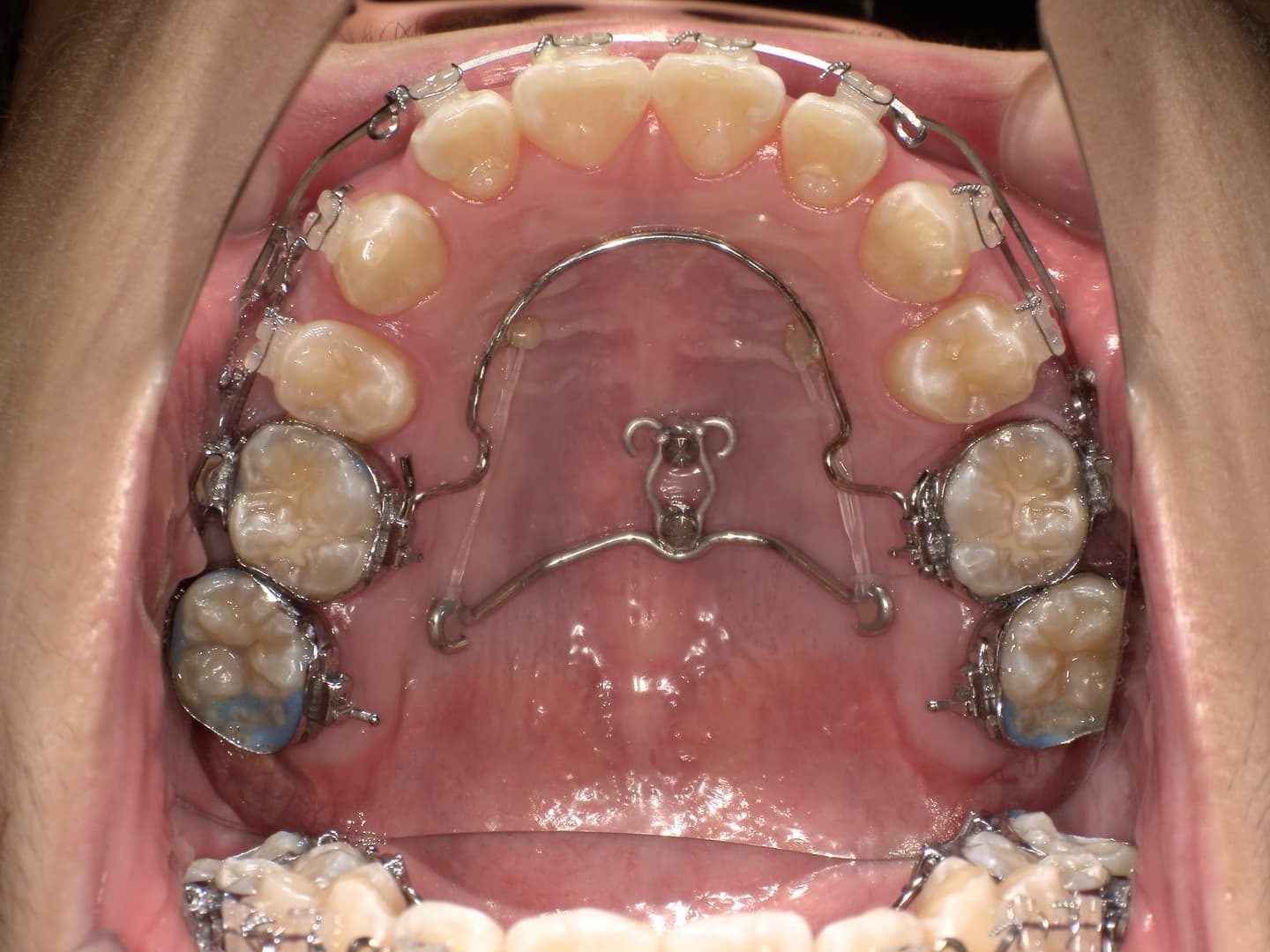
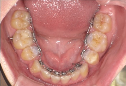
裏側矯正・ハーフリンガル

リンガルブラケット装着時の上顎の口腔内写真
リンガルブラケット装着時の下顎の写真

裏側の装置


スプリント

スプリントの口腔内写真
ワイヤーとの併用例